
해당이미지를 클릭하면, 원글로 이동합니다. :)
안녕하세요. SD동물의료센터/메디엘동물병원입니다.
오늘은 강아지 환자에서의 슬개골탈구 수술 외과케이스를 다뤄봅니다.
[강아지 해당환자 정보]
견종 : 포메라니안
나이 : 1살 5개월
체중 : 5kg
해당 환자는 다리를 아파하지는 않으나, 움직일 때 마다 다리에서 소리가 나서 내원한 환자입니다.
다리에서 뚝 뚝 하고 소리가 나거나, 다리를 불편해하여 뛰어다닐때 들고다니거나,
제대로 걷지못하고 걸음걸이가 이상할 경우에는, 병원으로 내원하여 다리상태를 확인해 보는 것이 중요합니다.
슬개골 탈구는 흔하게 발생하는 질병이고, 아이에 따라 1~2기의 초기 슬개골 탈구에도 아파하는 아이도 있고, 슬개골탈구 4기인데도 아파하지 않는 아이들도 있습니다. 아파하지 않는다고하여 장기간 방치하게 되면 뼈의 모양이 휘어지거나, 관절염이 생길 수 있는 등 다른 더 큰 문제를 일으킬 가능성이 높습니다. 수술의 경우에는 조기에 발견하여 뼈의 변형이 적고, 초기 슬개골 탈구일수록 수술 경과가 좋습니다.
본원에서는 우선 정확한 진단을 위해 x-ray검사를 진행하였고, 해당 환자는 좌측 슬개골탈구 3기, 우측 슬개골탈구 2-3기로 진단받아 이민수 원장님께 수술일정을 잡게 되었습니다.
해당 환자는 슬개골 탈구 활차구 성형술로 진행하기로 하였습니다.
환자의 경우에는 두살이 안된 어린나이인데도, 이미 슬개골 관절염이 진행이 되고있어서 빠른 슬개골탈구 수술이 필요한 상황이였습니다.
사진은 좌측의 다리이고 뼈에 염증이 차서 누르면 나오는 상황이였습니다. 저희 Sd동물의료센터/메디엘 동물병원에서는 수술 중 관절염에 관절 주사를 바로 놓아주어, 빠른 회복을 도울 수 있습니다. 이 환자는 다행히 우측의 경우는 관절염까지 진행되지 않았습니다.

슬개골 활차구 성형술이란?
대표적인 슬개골탈구 교정수술방법입니다.
슬개골이 미끄러지는 것을 방지하기 위해, 좀 더 깊게 고랑을 파 주는 방법입니다.
윗 정강이뼈의 끝에 있는 부분을 성형하는 활차구 성형술 입니다.

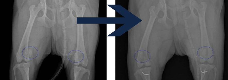
슬개골탈구 수술 전/ 후 x-ray 사진 결과
해당 환자의 수술 전후 x-ray사진입니다. 다리 안쪽으로 돌아가 있던 슬개골이 정상위치로 돌아가있는것을 확인할 수 있습니다. (파란색 동그라미 부분) 슬개골 탈구 수술은 옆으로 돌아간 슬개골을 정상위치로 돌려서 더이상 빠지지 않게 하는 것이 중요하고, 수술을 했어도 무리한 운동이나, 점프하기, 두 발로 일어서기등 관절에 부담이 되는 자세는 좋지 않습니다.
해당환자는 수술 후 한달 뒤에 재검받으러 왔을때, 보행에 이상이 없고 방사선상으로도 문제가 없음을 확인했습니다.
슬개골 탈구는 나이에 관계없이 생길 수 있으므로, 보호자님들의 예민한 관찰과 조기예방이 중요합니다.
소형견의 경우, 선천적인 문제 일 수 있지만,
평소에 최대한 관절을 보호하여 슬개골 탈구가 악화되지 않는 노력이 필요합니다.
가장 흔한 상황으로는, 미끄러지며 무릎에 무리가 가게되는 경우입니다. 아이가 자주 머무는 곳에는 미끄럼 방지 패드나, 카페트등을 깔아주고, 발톱과 발바닥털을 짧게 유지하여 아이가 미끄러지는 상황을 최소한으로 줄여주세요. 아이가 비만할수록, 무릎관절에 무리가 많이 가게 됩니다. 적정 체중을 유지하는 것과 관절영양제를 급여하는 것도 슬개골 탈구 예방에 중요한 포인트 입니다.

해당이미지를 클릭하면, 원글로 이동합니다. :)
해당이미지를 클릭하면, 원글로 이동합니다. :)
안녕하세요. SD동물의료센터/메디엘동물병원입니다.
오늘은 강아지 환자에서의 슬개골탈구 수술 외과케이스를 다뤄봅니다.
[강아지 해당환자 정보]
견종 : 포메라니안
나이 : 1살 5개월
체중 : 5kg
해당 환자는 다리를 아파하지는 않으나, 움직일 때 마다 다리에서 소리가 나서 내원한 환자입니다.
다리에서 뚝 뚝 하고 소리가 나거나, 다리를 불편해하여 뛰어다닐때 들고다니거나,
제대로 걷지못하고 걸음걸이가 이상할 경우에는, 병원으로 내원하여 다리상태를 확인해 보는 것이 중요합니다.
슬개골 탈구는 흔하게 발생하는 질병이고, 아이에 따라 1~2기의 초기 슬개골 탈구에도 아파하는 아이도 있고, 슬개골탈구 4기인데도 아파하지 않는 아이들도 있습니다. 아파하지 않는다고하여 장기간 방치하게 되면 뼈의 모양이 휘어지거나, 관절염이 생길 수 있는 등 다른 더 큰 문제를 일으킬 가능성이 높습니다. 수술의 경우에는 조기에 발견하여 뼈의 변형이 적고, 초기 슬개골 탈구일수록 수술 경과가 좋습니다.
본원에서는 우선 정확한 진단을 위해 x-ray검사를 진행하였고, 해당 환자는 좌측 슬개골탈구 3기, 우측 슬개골탈구 2-3기로 진단받아 이민수 원장님께 수술일정을 잡게 되었습니다.
해당 환자는 슬개골 탈구 활차구 성형술로 진행하기로 하였습니다.
환자의 경우에는 두살이 안된 어린나이인데도, 이미 슬개골 관절염이 진행이 되고있어서 빠른 슬개골탈구 수술이 필요한 상황이였습니다.
사진은 좌측의 다리이고 뼈에 염증이 차서 누르면 나오는 상황이였습니다. 저희 Sd동물의료센터/메디엘 동물병원에서는 수술 중 관절염에 관절 주사를 바로 놓아주어, 빠른 회복을 도울 수 있습니다. 이 환자는 다행히 우측의 경우는 관절염까지 진행되지 않았습니다.
슬개골 활차구 성형술이란?
대표적인 슬개골탈구 교정수술방법입니다.
슬개골이 미끄러지는 것을 방지하기 위해, 좀 더 깊게 고랑을 파 주는 방법입니다.
윗 정강이뼈의 끝에 있는 부분을 성형하는 활차구 성형술 입니다.
슬개골탈구 수술 전/ 후 x-ray 사진 결과
해당 환자의 수술 전후 x-ray사진입니다. 다리 안쪽으로 돌아가 있던 슬개골이 정상위치로 돌아가있는것을 확인할 수 있습니다. (파란색 동그라미 부분) 슬개골 탈구 수술은 옆으로 돌아간 슬개골을 정상위치로 돌려서 더이상 빠지지 않게 하는 것이 중요하고, 수술을 했어도 무리한 운동이나, 점프하기, 두 발로 일어서기등 관절에 부담이 되는 자세는 좋지 않습니다.
해당환자는 수술 후 한달 뒤에 재검받으러 왔을때, 보행에 이상이 없고 방사선상으로도 문제가 없음을 확인했습니다.
슬개골 탈구는 나이에 관계없이 생길 수 있으므로, 보호자님들의 예민한 관찰과 조기예방이 중요합니다.
소형견의 경우, 선천적인 문제 일 수 있지만,
평소에 최대한 관절을 보호하여 슬개골 탈구가 악화되지 않는 노력이 필요합니다.
가장 흔한 상황으로는, 미끄러지며 무릎에 무리가 가게되는 경우입니다. 아이가 자주 머무는 곳에는 미끄럼 방지 패드나, 카페트등을 깔아주고, 발톱과 발바닥털을 짧게 유지하여 아이가 미끄러지는 상황을 최소한으로 줄여주세요. 아이가 비만할수록, 무릎관절에 무리가 많이 가게 됩니다. 적정 체중을 유지하는 것과 관절영양제를 급여하는 것도 슬개골 탈구 예방에 중요한 포인트 입니다.
해당이미지를 클릭하면, 원글로 이동합니다. :)